学术
-
-
病理AI资讯周报(第10期)即插即用病理AI登顶Nature Cancer,7%自动化偏见敲响警钟
本周导读本周病理AI领域迎来多项重磅突破:香港科技大学PRET系统仅凭8张切片即可超越病理医生水平,登顶Nature Cancer;自主病理智能体SPARK发Nature Medicine,能从静态影...
-
-
病理人请收藏!CSP2026参会全攻略,你想知道的都在这!
由中华医学会、中华医学会病理学分会主办,陕西省医学会、陕西省医学会病理学分会、空军军医大学第一附属医院(基础医学院)、西安交通大学第一附属医院承办,国际病理学会...
-
病理AI资讯周报(2026年4月6日-4月12日)
核心要点速览一、重磅头条:顶刊AI临床试验1.1 肺癌诊断:LungIMPACT随机对照试验期刊: Nature Medicine发布时间: 2026年4月试验设计:规模: 93,326例接受胸部X光检查的患者随机分组AI组: 45,987例,AI对CXR自动风险评分,高风险片子...
-
-
病理诊断绝非"低端医疗":AI是助手,而非替代者
近日,全国人大代表、中国工程院院士于金明在接受《中国科学报》采访时提出,"AI可逐步取代一些低端的医疗行为,如常规的影像诊断、病理诊断及放疗计划制订等传统工作...
-
-
【参会通知】中华医学会病理学分会第三十一次学术会议暨第十五届病理年会
由中华医学会、中华医学会病理学分会主办,陕西省医学会、陕西省医学会病理学分会、空军军医大学第一附属医院、西安交通大学第一附属医院承办,国际病理学会中国分会、中国...
-
-
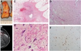
明察秋毫-活检貌似正常的某些肝脏疾病(六)
戈谢病戈谢病(Gaucher disease)是一种常染色体隐性遗传的溶酶体贮积症,可累及肝脏、脾脏、骨髓及中枢神经系统等多个器官。临床表现包括肝脾肿大、骨髓浸润、凝血功能障...
-
-
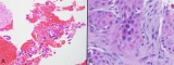
明察秋毫-活检貌似正常的某些肝脏疾病(五)
糖原性肝病糖原性肝病最常见于控制不佳的1型糖尿病患者,少见情况下可见于2型糖尿病、胃切除术后的倾倒综合征、神经性厌食、多种药物(如大剂量皮质类固醇和硫唑嘌呤)。这...
-
-
明察秋毫-活检貌似正常的某些肝脏疾病(四)
α1抗胰蛋白酶缺陷α1抗胰蛋白酶缺陷(α1-Antitrypsin deficiency,AATD)为SERPINA1基因点突变所致的常染色体共显性遗传病(共显性是显性遗传的一种特殊形式,指一对等位...
-
-
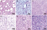
明察秋毫-活检貌似正常的某些肝脏疾病(三)
铁过载铁过载是由遗传性疾病或获得性疾病导致的。遗传性疾病者称为遗传性血色病,简称血色病,与某些基因的突变相关,具体如HFE、HJV、HAMP、TFR2、FPN/SLC40A1;其他相关...
-
-
明察秋毫-活检貌似正常的某些肝脏疾病(二)
Wilson病Wilson病是常染色体隐性遗传疾病,其特点为染色体13q14.3处的ATP7B基因突变导致铜代谢异常。该基因编码的ATP酶主要功能是将铜离子整合至新合成的铜蓝蛋白中,并促...
查看更多
热点导读
-
淋巴瘤诊断中CD30检测那些事(五)
2022-06-02 -
【以例学病】肺结节状淋巴组织增生
2022-05-31 -
这不是演习-一例穿刺活检的艰难诊断路
2022-05-26 -
黏液性血性胸水一例技术处理及诊断经验分享
2022-05-25 -
中老年女性,怎么突发喘气困难?低度恶性纤维/肌纤维母细胞性肉瘤一例
2022-05-07
数据加载中