学术
-
分子时代的乳腺小叶性病变再学习(五)
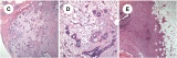
混合型导管-小叶癌的诊断难题关于导管-小叶癌(包括浸润性混合性导管小叶癌、具有导管和小叶特征的浸润癌等)文献的全面论述与评析,超出了本综述的讨论范围。简单说,既往研究很多在定义和诊断细节方面都存在不足,不管其关注的是临床指...
-
分子时代的乳腺小叶性病变再学习(四)
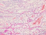
形态学为小叶癌但E-cadherin阳性病例的经验免疫组化中E-cadherin表达缺失,早已被视为小叶癌的标志性特点。不过,实际工作中总是会遇到免疫组化和形态学不一致的情况,比如形态学为小叶癌但E-cadherin免疫组化完整细胞膜阳性。这种情况的...
-
-
分子时代的乳腺小叶性病变再学习(三)
Cadherin-catenin复合体的免疫组化应用免疫组化中E-cadherin表达缺失,早已被视为小叶癌的标志性特点,浸润性及原位病变中均是如此。结合前述介绍的E-cadherin在细胞连接(...
-
分子时代的乳腺小叶性病变再学习(二)
小叶癌的分子特征:CDH1及16q发现乳腺小叶癌中E-cadherin编码基因CDH1突变几率较高,已经有25年多了。最近的二代测序研究发现,浸润性小叶癌中CDH1突变(主要为功能缺失型突变)的几率为65-70%。具体突变位点涉及整个基因,其中约20%见于...
-
分子时代的乳腺小叶性病变再学习(一)
简介无论是原位还是浸润性,小叶性乳腺癌的基本概念都是一致的:组织学特征表现为细胞黏附性缺失,这与CDH1基因编码的黏附分子E-cadherin缺失密切相关。不过实际工作中,总是存在各种各样的变化,比如形态学的变异、异常或预料之外的免疫...
-
-
读文献,学病理-40岁以上女性恶性肿瘤中的卵黄囊瘤分化
简介女性生殖道的卵黄囊瘤(yolk sac tumors,YSTs)多见于年轻女性(年龄中位数17-22岁)的卵巢,具体表现为单纯型、或混合型生殖细胞肿瘤。不过,该肿瘤也可见于多个其他...
-
-
旧文新读-伴印戒细胞的乳腺癌转移至卵巢
引言临床病理诊断工作中,对于恶性肿瘤来说,一个极为关键的问题是确定肿瘤为原发、还是转移,因为二者的诊疗方案和预后是截然不同的。其中,卵巢肿瘤因其原发肿瘤类型繁多...
-
-
读文献,学病理-妊娠及哺乳相关的乳腺病变(三)
泌乳性腺瘤泌乳性腺瘤又称局灶结节状泌乳性增生(localized nodular lactational hyperplasia),一般表现为哺乳女性触及无痛、界清的肿物或结节,患者因此而就诊。可能会...
-
-
新病种:输卵管卵巢发生的PAX8阴性子宫内膜样腺癌
本病为新报道病种,全称是“卵巢输卵管发生的含有大量性索样形态的PAX8阴性子宫内膜样腺癌”。这是一种描述性诊断,以后可能会有正式命名。本病只查到一篇研究快报(摘要形...
-
-
读文献,学病理-妊娠及哺乳相关的乳腺病变(二)
妊娠及哺乳相关的乳腺癌妊娠及哺乳相关的乳腺癌是指妊娠期、产后1年内、或哺乳期确诊的乳腺癌。妊娠期女性确诊的癌中,乳腺癌和宫颈癌占比各约50%。妊娠及哺乳相关乳腺癌在...
查看更多
热点导读
-
淋巴瘤诊断中CD30检测那些事(五)
2022-06-02 -
【以例学病】肺结节状淋巴组织增生
2022-05-31 -
这不是演习-一例穿刺活检的艰难诊断路
2022-05-26 -
黏液性血性胸水一例技术处理及诊断经验分享
2022-05-25 -
中老年女性,怎么突发喘气困难?低度恶性纤维/肌纤维母细胞性肉瘤一例
2022-05-07
数据加载中