最新资讯
-
学术
-
乳腺肿瘤性及非肿瘤性硬化性病变(四)
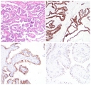
病种详解之导管内乳头状瘤导管内乳头状瘤的定义,是“发生于导管内的中央型(孤立性)或外周型(多灶性)病变,由伴纤维血管轴心的乳头状突起、被覆上皮细胞构成,且有肌上...
-
快讯
-
好书上新,预售7.5折特惠|《消化道非肿瘤性疾病外科病理学》姜支农 陈丹 王学菊主译
【点击这里直接购买】01内容简介《消化道非肿瘤性疾病外科病理学》由来自Mayo Clinic的消化病理学专家Dr.Lizhi Zhang(张立志)、Dr.Vishal S. Chandan和Dr.Tsung-Teh Wu(...
-
学术
-
病理AI资讯周报(第10期)即插即用病理AI登顶Nature Cancer,7%自动化偏见敲响警钟
本周导读本周病理AI领域迎来多项重磅突破:香港科技大学PRET系统仅凭8张切片即可超越病理医生水平,登顶Nature Cancer;自主病理智能体SPARK发Nature Medicine,能从静态影...
-
学术
-
病理人请收藏!CSP2026参会全攻略,你想知道的都在这!
由中华医学会、中华医学会病理学分会主办,陕西省医学会、陕西省医学会病理学分会、空军军医大学第一附属医院(基础医学院)、西安交通大学第一附属医院承办,国际病理学会...
-
本站
-
【征文倒计时3天】中华医学会第二十四届细胞病理学会议
为进一步提高细胞病理学诊断与技术的水平,增进学术交流和相互了解,推动我国细胞病理学更好更快的发展,由中华医学会、中华医学会病理学分会主办,山东省医学会、山东省医...
-
本站
-
病理检验人规范化上岗培训:PCR基因扩增、实验室质量管理师、生物安全、细胞制备师、病理内审员、二代测序、生物信息分析师、遗传咨询师
官方主办权威认证国家级证书 从业上岗必备实验室培训目录:4月28日-4月30日01、PCR基因扩增检验人员岗位02、病理《实验室质量管理师》03、病理《细胞制备师》初/中/高04、...
- 学术
-
病理AI资讯周报(2026年4月6日-4月12日)
核心要点速览一、重磅头条:顶刊AI临床试验1.1 肺癌诊断:LungIMPACT随机对照试验期刊: Nature Medicine发布时间: 2026年4月试验设计:规模: 93,326例接受胸部X光检查的患者随机分组AI组: 45,987例,AI对CXR自动风险评分,高风险片子...
- 本站
-
青海先行!NGS首次纳入医保!9800封顶
2025年底,国家医保局印发《病理类医疗服务价格项目立项指南(试行)》,将现有病理类价格项目规范整合为28项、加收项3项、扩展项2项,覆盖病理检查全链条。按照“成熟一批、发布一批”的思路,各省医保局需参考该指南制定全省统一的价格...
-
学术
-
病理诊断绝非"低端医疗":AI是助手,而非替代者
近日,全国人大代表、中国工程院院士于金明在接受《中国科学报》采访时提出,"AI可逐步取代一些低端的医疗行为,如常规的影像诊断、病理诊断及放疗计划制订等传统工作...
-
快讯
-
跑分时代结束,医疗AI的"最后一公里"在哪?
2025年,AI大模型圈有个怪现象:Llama 3.1在Hugging Face榜单上屠榜,阿里通义千问开源版本参数突破千亿,但北京某三甲医院的病理科医生打开"智能辅助诊断系统"...
-
推广
-
全自动液基细胞学标本处理系统,为病理工作者提供高效率、高质量的制片、染色、封片一体化解决方案。
全自动液基细胞学标本处理系统(HiPrep HP5000)是深路医学科技(武汉)有限公司自主研发的一款全自动细胞学制片、染色、封片一体化设备。HiPrep HP5000采用优化的自然沉降方...
-
快讯
-
OpenClaw到底是什么?一只龙虾如何搅动整个病理圈
如果在一周前,你对一位病理科医生说,有一只“龙虾”即将颠覆他的日常工作,他可能会以为你要请他吃饭。但现在,这只名为OpenClaw的红色“小龙虾”,正以横扫之势席卷GitH...
-
快讯
-
【征文参会开始啦!】中华医学会第二十四届细胞病理学会议
为进一步提高细胞病理学诊断与技术的水平,增进学术交流和相互了解,推动我国细胞病理学更好更快的发展,由中华医学会、中华医学会病理学分会主办,山东省医学会、山东省医...
-
学术
-
【参会通知】中华医学会病理学分会第三十一次学术会议暨第十五届病理年会
由中华医学会、中华医学会病理学分会主办,陕西省医学会、陕西省医学会病理学分会、空军军医大学第一附属医院、西安交通大学第一附属医院承办,国际病理学会中国分会、中国...
- 快讯
-
征文通知 | 中华医学会第二十次血液学学术会议
由中华医学会、中华医学会血液学分会共同主办,重庆市医学会承办,华中科技大学同济医学院血液病学研究所、陆军军医大学第二附属医院(新桥医院)血液病医学中心协办的中华医学会第二十次血液学学术会议,本次会议将于2026年10月30日-11...
-
快讯
-
2026年病理科专项上岗培训:PCR基因扩增、生物安全、细胞制备师、NGS二代测序、病理内审员、生物信息分析师、遗传咨询师
——国家级证书 从业上岗必备——病理实验室培训PATHOLOGY LABORATORY TRAINING01/PCR基因扩增检验人员岗位02/病理生物安全(病原微生物)03/病理《细胞制备师》初/中/高04...
-
快讯
-
医疗AI下沉基层!华为携手瑞金医院发布RuiPath智慧病理一体机
今日,医疗人工智能协同创新论坛暨医疗人工智能联盟(筹)2026年第一次学术会议在沪举行。为持续推动医疗AI普惠发展,华为重磅发布智慧病理云边端解决方案,并与上海交通大...
-
本站
-
2026年病理科专项上岗培训:PCR基因扩增、生物安全、NGS二代测序、细胞制备师、病理内审员、生物信息分析师
2026年首期病理科人员专项培训国家级证书从业上岗必备★★★★★1、PCR基因扩增检验人员岗位 2026年01月29日-01月31日2、病理生物安全(含病原微生物)2026年01月29日-01月...
-
学术
-
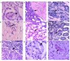
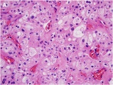
明察秋毫-活检貌似正常的某些肝脏疾病(六)
戈谢病戈谢病(Gaucher disease)是一种常染色体隐性遗传的溶酶体贮积症,可累及肝脏、脾脏、骨髓及中枢神经系统等多个器官。临床表现包括肝脾肿大、骨髓浸润、凝血功能障...
-
学术
-
明察秋毫-活检貌似正常的某些肝脏疾病(五)
糖原性肝病糖原性肝病最常见于控制不佳的1型糖尿病患者,少见情况下可见于2型糖尿病、胃切除术后的倾倒综合征、神经性厌食、多种药物(如大剂量皮质类固醇和硫唑嘌呤)。这...
-
推广
-
单细胞测序与尿路上皮癌检测的完美邂逅
单细胞测序将开启肿瘤诊断新篇章施奇惠教授由肿瘤诊断中特征或标志物的发现与验证讲起,详细解读了液体活检标志物用于肿瘤早期检测的方法学原理与临床验证情况,尤其是单细...
-
学术
-
明察秋毫-活检貌似正常的某些肝脏疾病(四)
α1抗胰蛋白酶缺陷α1抗胰蛋白酶缺陷(α1-Antitrypsin deficiency,AATD)为SERPINA1基因点突变所致的常染色体共显性遗传病(共显性是显性遗传的一种特殊形式,指一对等位...
查看更多
热点导读
-
淋巴瘤诊断中CD30检测那些事(五)
2022-06-02 -
【以例学病】肺结节状淋巴组织增生
2022-05-31 -
这不是演习-一例穿刺活检的艰难诊断路
2022-05-26 -
黏液性血性胸水一例技术处理及诊断经验分享
2022-05-25 -
中老年女性,怎么突发喘气困难?低度恶性纤维/肌纤维母细胞性肉瘤一例
2022-05-07





数据加载中