最新资讯
- 
                            
                                
                            
                            学术
                         - 
                            
乳腺肿瘤性及非肿瘤性硬化性病变(四)
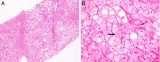
病种详解之导管内乳头状瘤导管内乳头状瘤的定义,是“发生于导管内的中央型(孤立性)或外周型(多灶性)病变,由伴纤维血管轴心的乳头状突起、被覆上皮细胞构成,且有肌上... 
- 
                            
                                
                            
                            快讯
                         - 
                            
好书上新,预售7.5折特惠|《消化道非肿瘤性疾病外科病理学》姜支农 陈丹 王学菊主译
【点击这里直接购买】01内容简介《消化道非肿瘤性疾病外科病理学》由来自Mayo Clinic的消化病理学专家Dr.Lizhi Zhang(张立志)、Dr.Vishal S. Chandan和Dr.Tsung-Teh Wu(... 
- 
                            
                                
                            
                            学术
                         - 
                            
读文献,学病理-妊娠及哺乳相关的乳腺病变(二)
妊娠及哺乳相关的乳腺癌妊娠及哺乳相关的乳腺癌是指妊娠期、产后1年内、或哺乳期确诊的乳腺癌。妊娠期女性确诊的癌中,乳腺癌和宫颈癌占比各约50%。妊娠及哺乳相关乳腺癌在... 
- 
                            
                                
                            
                            学术
                         - 
                            
读文献,学病理-妊娠及哺乳相关的乳腺病变(一)
简介正常乳腺组织在一生中会因激素变化而呈现形态学的动态改变。早至20世纪80年代的研究就已经发现,月经周期的不同阶段与乳腺腺体及间质形态的细微变化之间存在相关性。具... 
- 
                            
                                
                            
                            学术
                         - 
                            
读文献,学病理-活检标本中的食管黏膜剥脱
引言食管鳞状黏膜的剥脱,可见于临床表现、病因、组织学特征不同的多种情况下,具体如移植物抗宿主病、皮肤大疱性疾病累及食管、自身免疫性疾病、药物性食管炎等。按照文献... 
- 学术
 - 
                            
病例分享 | 卵巢血管肉瘤1例详解(续)
这例血管肉瘤发生在12岁女孩双侧卵巢,极罕见。以此为例,详解罕见疑难病例基于形态学、辅以免疫组化的诊断思路。基于形态学模式的诊断思路以下介绍一种“逐步逼近”的软组织肉瘤诊断思路。首先在低倍镜下观察,这是正确诊断的最重要步骤... 
- 
                            
                                
                            
                            学术
                         - 
                            
病例分享 | 肺原发性腺样囊性癌1例
男,73岁,检查发现右下肺结节2年余,无吸烟史。CT示右下肺叶胸膜下结节状软组织密度影,边界尚清,大小约2.8cm×1.8cm,密度尚均匀,以宽基底与胸膜相连,考虑右肺下叶肿... 
- 
                            
                                
                            
                            学术
                         - 
                            
读文献,学病理-恶性上皮性肿瘤转移至卵巢(四)
免疫组化特征卵巢转移性肿瘤的诊断中,组织形态学是确定鉴别诊断方向、选择合适免疫组化标记物的基础,而免疫组化则在最终明确诊断方面发挥了关键作用。即使是卵巢原发肿瘤... 
- 
                            
                                
                            
                            学术
                         - 
                            
病例分享 | 树突状纤维粘液样脂肪瘤
临床病史男性,59岁,背部肿物,超声提示脂肪瘤。病理大体灰黄结节状组织一块,大小4.8×4.5×2.0cm ,表面光滑,见薄纤维包膜,切面灰黄灰红、水肿样,有光泽,局部呈结节... 
- 
                            
                                
                            
                            学术
                         - 
                            
病例分享 | 肺错构瘤1例
男,55岁,因“体检发现左肺占位1月”入院。患者偶有咳嗽、咳痰,无咯血、胸痛及发热等不适症状。既往体健,无吸烟史。门诊胸部CT提示左肺上叶结节,大小约4.5cm×3cm×3cm... 
- 
                            
                                
                            
                            推广
                         - 
                            
全自动液基细胞学标本处理系统,为病理工作者提供高效率、高质量的制片、染色、封片一体化解决方案。
全自动液基细胞学标本处理系统(HiPrep HP5000)是深路医学科技(武汉)有限公司自主研发的一款全自动细胞学制片、染色、封片一体化设备。HiPrep HP5000采用优化的自然沉降方... 
- 
                            
                                
                            
                            学术
                         - 
                            
读文献,学病理-恶性上皮性肿瘤转移至卵巢(三)
病种详解来自子宫的转移所有类型的子宫内膜癌都可以转移至卵巢,如子宫内膜样癌、浆液性癌、癌肉瘤、透明细胞癌。这类肿瘤播散至卵巢时,一般会保持其在子宫内时的原有组织... 
- 
                            
                                
                            
                            学术
                         - 
                            
读文献,学病理-恶性上皮性肿瘤转移至卵巢(二)
病种详解就卵巢的转移性肿瘤来说,某些特殊组织学表现可提示原发部位,因此本文将介绍结肠、阑尾、胃部、胰胆管、子宫、宫颈、乳腺处肿瘤转移至卵巢时的相关形态学特点。需... 
- 
                            
                                
                            
                            学术
                         - 
                            
读文献,学病理-恶性上皮性肿瘤转移至卵巢(一)
引言卵巢恶性肿瘤中,5%至30%为转移性。具体来说,可转移至卵巢的肿瘤类型繁多,如来源于结直肠、子宫内膜、乳腺、阑尾、胃及宫颈的肿瘤。不过,临床实践工作中常常因为各... 
- 
                            
                                
                            
                            学术
                         - 
                            
病例分享 | 鼻腔髓外浆细胞瘤,伴EBV感染
病史:患者,男,33岁,2年前始无诱因间断出现双侧鼻塞,嗅觉减退,偶双侧额部胀痛。左侧总鼻道,右侧鼻中隔及鼻底均见红色、广基新生物堵塞。影像学检查:鼻窦MRI平扫+增... 
- 
                            
                                
                            
                            学术
                         - 
                            
读文献,避陷阱-皮肤原发肉瘤样鳞状细胞癌
引言我经常戏言,“病理不讲理”。比如,按照肿瘤命名原则,上皮来源的恶性肿瘤被称为癌,间叶来源的恶性肿瘤被称为肉瘤;但总是有些家伙比较另类,比如,“肉瘤样癌”是什... 
- 
                            
                                
                            
                            学术
                         - 
                            
其他罕见亚型肾细胞癌及少见临床表现(四) 
某些肾脏肿瘤的少见表现这一部分所述肿瘤类型其实已经相对明确,此处仅探讨三种类型肿瘤的不常见临床表现,因为这些罕见情况可能会造成显著的诊断陷阱。高级别及梭形细胞为... 
- 
                            
                                
                            
                            快讯
                         - 
                            
招商启动!全国3000+医疗精英齐聚武汉,共塑医疗AI新生态
2025智链·医疗人工智能生态大会暨武汉数智病理发展大会.会议文件 
- 
                            
                                
                            
                            学术
                         - 
                            
其他罕见亚型肾细胞癌及少见临床表现(三)
某些散发性肾肿瘤BRAF p.V600E突变的乳头状肾肿瘤后肾肿瘤家族包括了主要由上皮成分构成者(后肾腺瘤)、主要由间质成分构成者(后肾间质性肿瘤)、双相型肿瘤(后肾腺纤维... 
- 
                            
                                
                            
                            学术
                         - 
                            
其他罕见亚型肾细胞癌及少见临床表现(二)
遗传性肿瘤易感综合征继发于VHL无关基因种系突变的伴透明细胞特征的肾细胞癌遗传性肾细胞癌的常见原因包括VHL病,且VHL病相关的肾脏表现有囊肿、透明细胞肾细胞癌。最近这... 
- 
                            
                                
                            
                            推广
                         - 
                            
单细胞测序与尿路上皮癌检测的完美邂逅
单细胞测序将开启肿瘤诊断新篇章施奇惠教授由肿瘤诊断中特征或标志物的发现与验证讲起,详细解读了液体活检标志物用于肿瘤早期检测的方法学原理与临床验证情况,尤其是单细... 
- 
                            
                                
                            
                            学术
                         - 
                            
病例分享 | 透明性肾细胞癌病理诊断
透明性肾细胞癌,也叫肾透明细胞癌(Clear Cell Renal Cell Carcinoma, ccRCC),是肾脏最常见的一种恶性肿瘤,占所有肾癌的70%–80%。近年来,它在全球的发病率还在逐渐上... 
查看更多
            热点导读
- 
                        
                        淋巴瘤诊断中CD30检测那些事(五)
2022-06-02 - 
                        
                        【以例学病】肺结节状淋巴组织增生
2022-05-31 - 
                        
                        这不是演习-一例穿刺活检的艰难诊断路
2022-05-26 - 
                        
                        黏液性血性胸水一例技术处理及诊断经验分享
2022-05-25 - 
                        
                        中老年女性,怎么突发喘气困难?低度恶性纤维/肌纤维母细胞性肉瘤一例
2022-05-07 





                            
                            
                            
                            
                            
                            
                            
                            
                            
                            
                            
                            
                            
                            
                            
                            
                            
                            
                            
                            
                            
                        
                        
                        
                        
                        
  数据加载中