[导读] 编译整理:强子
类似实性乳头状癌的浸润性小叶癌
最近有报道描述了伴实性乳头状生长的浸润性小叶癌,与前述实性乳头状癌非常相似。最初报道的三例病变中,作者指出其具有明显的实性乳头状结构(即肿瘤细胞形成实性巢状,伴散在分布的纤细纤维血管轴心),且不表达E-cadherin及β-catenin。下图即为一例实性乳头状浸润性小叶癌的实例:界清的乳头状肿瘤,不表达神经内分泌标记、cadherin-catenin复合体,周边也无肌上皮标记的表达。
图9.类似实性乳头状癌的浸润性小叶癌。本例表现为上皮细胞构成的实性、界清肿物,其间散在纤细纤维血管轴心;与实性乳头状癌存在显著相似性。免疫组化ADH5多重染色(包括染成红色的CK7、CK18以及染色棕色的CK5、CK14、p63)证实并无肌上皮;且肿瘤细胞不表达Syn、E-cadherin。
文献中还有一例同时呈现实性乳头状和经典型两种变异形态的浸润性小叶癌报道。作者对该例的分子特征进行研究,发现两种组织学变异具有一个相同的CDH1突变和几个拷贝数改变。此外,实性乳头状成分还有20q的获得、1p的缺失,这两种改变此前见于多形性亚型和实性亚型浸润性小叶癌。这些结果表明,这类病变可能是经典型浸润性小叶癌的一种变异、或者可视为伴显著血管成分的实性表现。
由于实性乳头状癌和浸润性小叶癌形态学都可表现为浆细胞样、印戒细胞样,因此实性乳头状的乳腺肿瘤诊断中,免疫组化确定小叶分化(即检测E-cadherin、β-catenin、p120)非常重要。与其他类型的浸润性小叶癌一样,病理分期时,整个病灶都视为浸润性癌。
包裹性乳头状癌难点
包裹性乳头状癌最初报道于1967年,当时描述为“巨大、一般为单发的出血性囊肿,其外周有纤维性囊壁包绕,囊壁内可见以乳头状腺癌为主的肿瘤组织向腔内突起”,且当时命名为“囊内(乳头状)癌”。这一癌种的特点是细胞核低至中级别的非典型上皮细胞形成乳头状肿瘤,结构为筛状及实性,位于扩张的囊腔内,且一般有纤维炎性外壳或包膜包裹。一般核分裂活性低。
虽然 “囊内乳头状癌”这一名称近些年已被弃用,但这一名词的确体现了这一病变大体及镜下的特征。与实性乳头状癌一样,包裹性乳头状癌患者年龄分布宽泛,但最常见于绝经后的老年女性,且免疫组化ER弥漫阳性,病变周边肌上皮标记缺失。
图10.包裹性乳头状癌。界清、囊性扩张的腔隙内为肿瘤性乳头状增生结构;瘤细胞的细胞核为低至中级别,排列在宽大的纤维血管凸起上;免疫组化弥漫、强阳性表达ER;病变周边肌上皮标记表达缺失。
包裹性乳头状癌和实性乳头状癌在评估是否有浸润的时候,也同样存在相似的难点。其实对于包裹性乳头状癌来说,其浸润性仍是一个有争议的话题。简单说来,目前主要有两种对立的理论:Nottingham专家组等提出的是,大部分包裹性乳头状癌为惰性浸润性癌,少数可能为原位癌;相反,Esposito等人则认为这类病变“局限于完整的基底膜内,因此属于原位癌”。不管具体哪种观点正确,但与实性乳头状癌相似,包裹性乳头状癌的预后等同于原位癌;因此,如果没有明确突破纤维包膜的浸润性成分,则包裹性乳头状癌分期应为pTis(导管原位癌)。不管包裹性乳头状癌是浸润、还是原位,本文的重点在于从形态学如何区分这类病变是“导管原位癌”、还是浸润性癌,也就是到底该分期为pTis、还是分期为T1或T2等情况。
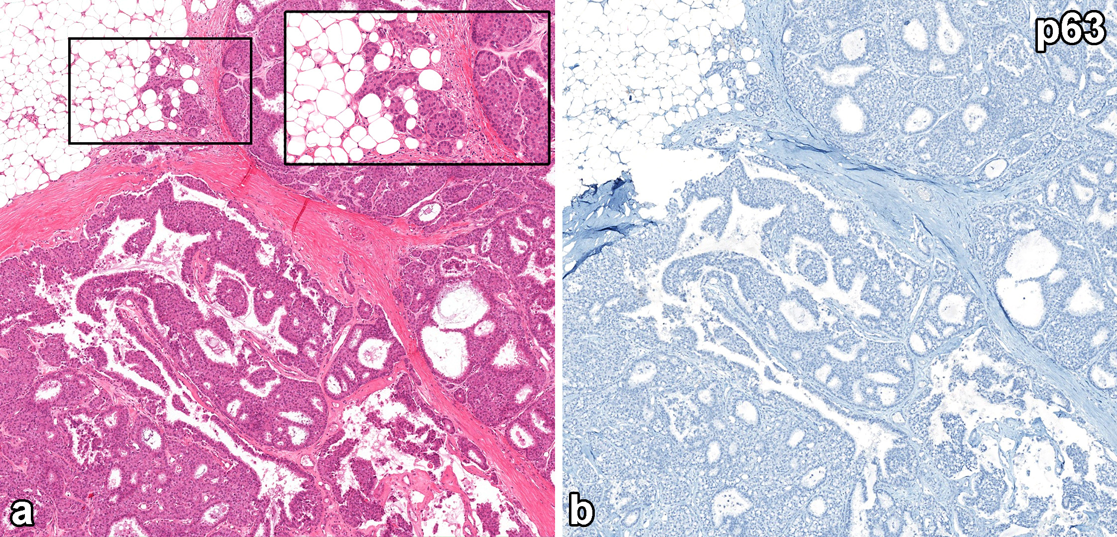
纤维炎性包膜是包裹性乳头状癌中的独特成分,但其显著程度会有差异,所以会导致浸润的评估复杂化,因为这一包膜还可类似经典型浸润性癌中常见的促纤维组织增生性间质。对于包膜较厚、硬化的区域来说,其中可能有陷入的上皮成分,从而呈现为类似浸润的假象,这一陷阱同样存在于硬化性导管内乳头状瘤中。因此,浸润性癌的诊断最好是非典型上皮细胞突破包膜、并侵入相邻脂肪组织的时候才可以做出。当然,如果是在破碎的粗针穿刺活检标本中判断这一点,即使不是完全不可能、也是难上加难的问题。因此就这一问题来说,明确诊断浸润性癌最好在切除标本中进行,而包膜需要全面检查。只有显著浸润性癌的部分才用于病理分期。
图11.包裹性乳头状癌伴微浸润性癌。微浸润性癌超出了包裹性乳头状癌的纤维包膜外,位于周围脂肪组织内。需要注意的是,图中病灶未见活检部位改变。免疫组化p63检测,微浸润性癌周围和包裹性乳头状癌周围均为表达缺失。
除了经典型包裹性乳头状癌外,最近还报道了一种高级别亚型,这种情况下整个病变都应归为浸润性癌。与典型包裹性乳头状癌不同,高级别者具有显著核分裂活性,且免疫组化ER可为阴性、HER2可为阳性。诊断高级别包裹性乳头状癌时,必须排除其他亚型的导管原位癌,尤其乳头状导管原位癌。

图12.高级别包裹性乳头状癌。本例表现为界清的三阴型乳头状癌,周围有纤维炎性包膜;高倍镜下可见高级别形态。这样的病例虽然并无明显浸润,但全部病变均按照浸润性癌分期。
未完待续
往期回顾:
读文献,学病理-乳腺乳头状肿瘤难点总结(一)
共0条评论