资讯

读文献,学病理-乳腺乳头状肿瘤难点总结(一)

强子 华夏病理 8423 评论
[导读] 编译整理:强子

简介

乳腺乳头状病变的类型和数量并不多,就病种而言仅有少数几种,其中的恶性病种在乳腺癌中占比不足1%。不过,就乳腺病理中的难点来说,乳头状病变肯定算一个,比如乳腺病理会诊中经常遇到这方面的问题。除了其名称可能导致某些困惑之外,日常工作中常用于解决诊断难题的免疫组化在乳头状病变中也经常让人迷惑、甚至适得其反。

 

针对上述问题,美国克利夫兰医学中心病理专家Hoda等人在《Hum Pathol》杂志发表综述,详尽介绍了会诊实践中经常遇到的乳腺乳头状肿瘤诊断挑战,深入探讨了诸如乳头状病变中浸润癌的诊断、以及应对新型病种(特别是具有极性翻转的高细胞癌、类似实性乳头状癌的浸润性小叶癌等)中长期存在的难题。为帮助大家更好的了解相关知识点并应用于临床实践,我们将该文要点编译介绍如下。

 

实性乳头状癌难点

实性乳头状癌最初报道于1995年,当时描述为“界清的上皮细胞结节”,“几乎总是发生于老年女性,且常见内分泌分化”。所以实性乳头状癌组织学上一般表现为上皮实性生长,其间有纤细的纤维血管轴心,从而形成典型的“实性乳头状”形态。虽然后续研究发现该肿瘤患者年龄分布宽泛,但最常见还是绝经后的老年女性。该肿瘤一般弥漫阳性表达ER,且可表达神经内分泌标记(如Syn、INSM1)。这一独特病种因其鲜明的临床与病理特征而常给病理医师带来诊断挑战。著名乳腺病理专家Tavassoli曾指出这一病种的诊断难度并告诫道,“导管内癌的这一模式极难识别,除非加做特殊检查并经精通乳腺病理的专家会诊,不要轻易做出这一诊断”。

 

实性乳头状癌病理诊断的诸多难点中,核心的是确定浸润性成分、或将非浸润性成分与某些浸润性亚型区分开来。乳腺病变中一个重要原则就是:存在完整肌上皮,则提示为导管内病变;无完整肌上皮则意味着浸润。不过,实性乳头状癌和包裹性乳头状癌情况下,某些肌上皮标记可减弱、甚至完全缺失。目前该类肿瘤分期为“pTis”(导管原位癌),且按照原位病变处理;虽然有上述情况存在,但这类病变的预后也近似于、甚至(有一项研究表明)要好于经典的导管原位癌。

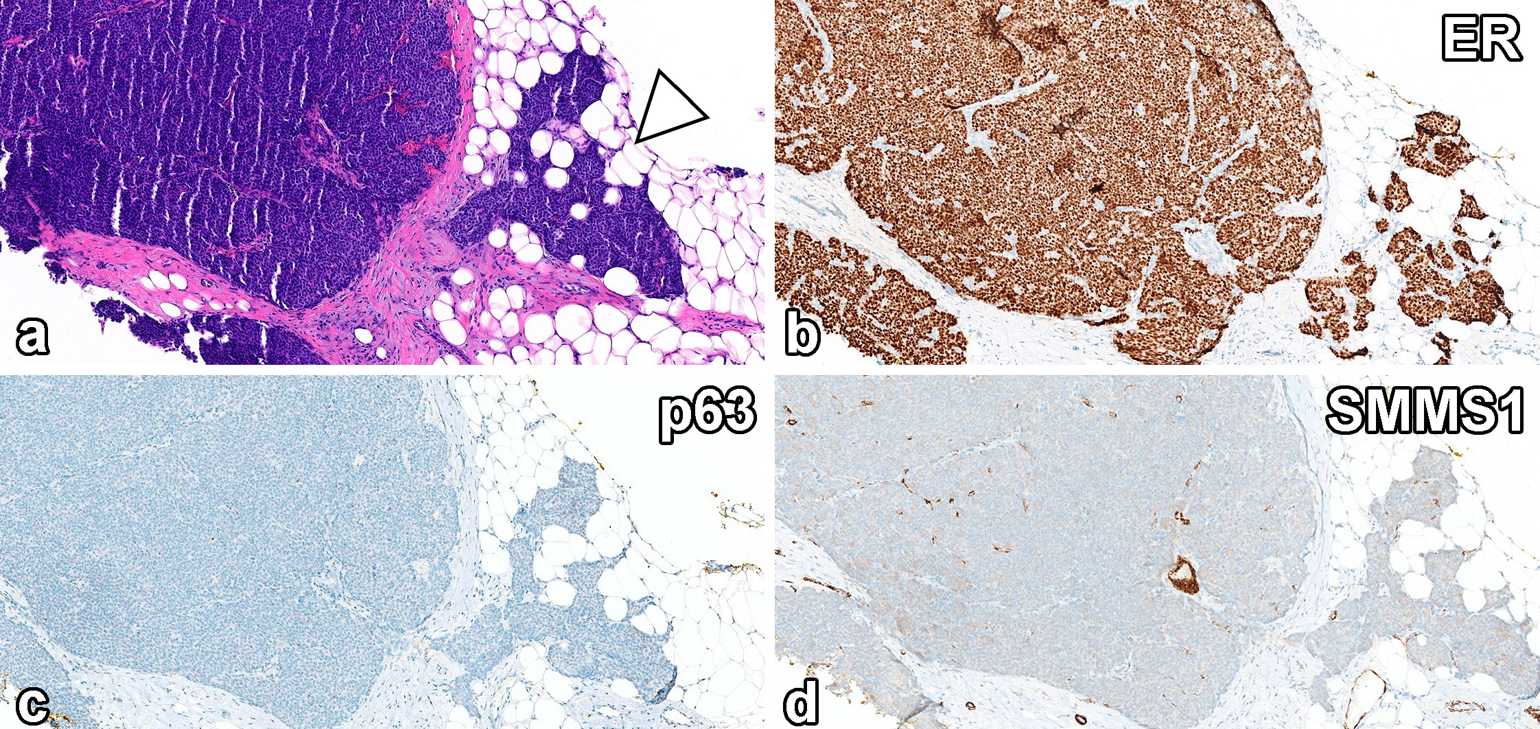
读文献,学病理-乳腺乳头状肿瘤难点总结(一)图1.非浸润性实性乳头状癌。形态学为上皮细胞形成界清结节,伴纤细毛细血管;瘤细胞形态均一,且有典型的神经内分泌形态;免疫组化ER弥漫阳性,且病变周边肌上皮标记缺失。

 

实性乳头状癌中肌上皮细胞的上述问题,已提出了某些相关理论已有多种观点,具体如肿瘤膨胀性结节对周围肌上皮细胞的机械性挤压、病变细胞与周围肌上皮细胞之间的增生速度存在差异。但不管具体原因如何,实性乳头状癌浸润性评估的时候,HE切片中的形态学仍有重要意义。边界清晰是区分非浸润性与浸润性实性乳头状癌的关键特征。非浸润性实性乳头状癌表现为界限清晰的肿瘤结节,轮廓相对圆形,尽管肌上皮标记免疫组化可为阴性。

 

与之对应,浸润性实性乳头状癌则表现为成角、不规则的细胞簇以“拼图状”浸润脂肪组织;背景中可见非浸润性成分的时候,浸润性癌超出非浸润性成分的边界、引起间质反应,后者也是显著浸润的标志性特点。这种情况下的浸润性癌可以仅为实性乳头状特征,但也可有诸多组织学编译,如非特殊类型浸润性癌、黏液癌。

读文献,学病理-乳腺乳头状肿瘤难点总结(一)图2.实性乳头状癌中的显著浸润性改变:肿瘤细胞在脂肪组织内形成不规则巢状;图中可见微浸润性癌;浸润性和非浸润性的实性乳头状癌免疫组化均为ER弥漫、强阳性,且周边肌上皮标记表达缺失。

读文献,学病理-乳腺乳头状肿瘤难点总结(一)图3.实性乳头状癌中的显著浸润性改变:肿瘤细胞在脂肪组织内形成不规则巢状;图中可见无非浸润性成分的浸润性实性乳头状癌;浸润性和非浸润性的实性乳头状癌免疫组化均为ER弥漫、强阳性,且周边肌上皮标记表达缺失。

 

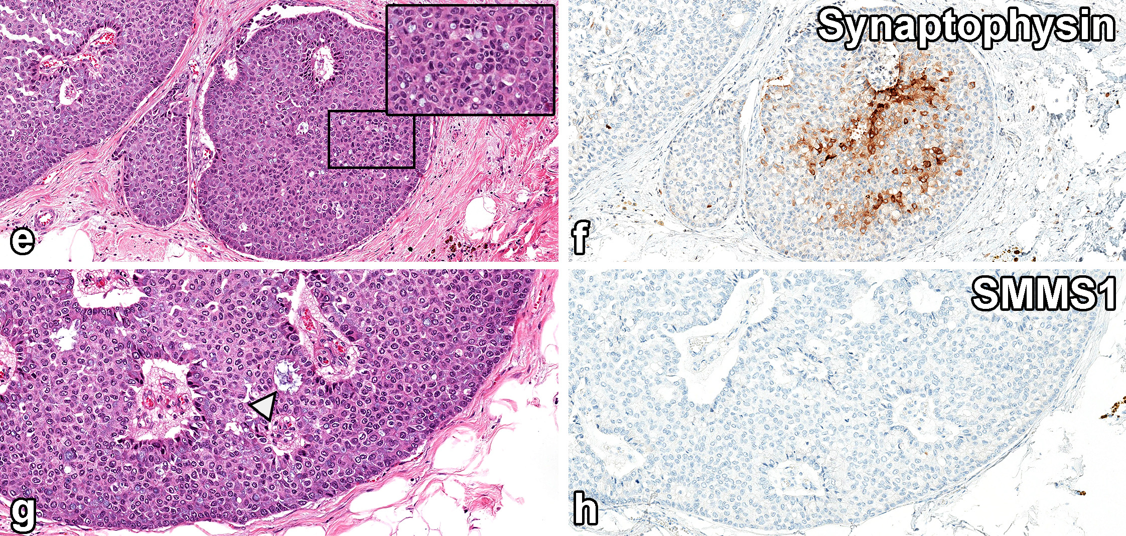
实性乳头状癌的形态还可类似其他的乳腺肿瘤、以及转移性肿瘤。其上皮细胞可呈浆细胞样、印戒细胞特征,且可类似浸润性小叶癌。个别情况下,实性乳头状癌还可出现细胞内黏液、或细胞外黏液;不过无显著浸润的情况下,这类病变还应归为非浸润性实性乳头状癌、而不是浸润性黏液癌。

读文献,学病理-乳腺乳头状肿瘤难点总结(一)图4.实性乳头状癌细胞形态可为印戒样,伴胞质内黏液;也可有胞质外黏液;免疫组化可表达神经内分泌标记;病变周边肌上皮标记缺失。

 

如最初所描述的那样,实性乳头状癌可有神经内分泌分化,形态学和免疫组化方面均可有所体现。实性乳头状癌与(原发及转移)神经内分泌肿瘤之间的这种相似性,可导致诊断困难且可能导致判断错误:如果未能考虑到这一问题,则可能会将转移性病灶误判为非浸润性实性乳头状癌!从鉴别诊断的角度来说,ER免疫组化帮助极大:实性乳头状癌一般弥漫、强阳性。曾有文献报道,18例ER均为阴性或弱阳性的转移性神经内分泌肿瘤中有8例(44%)首诊被误判为乳腺原发的癌,其中1例被误判为非浸润性实性乳头状癌。因此,类似实性乳头状癌的病变如果ER并非弥漫、强阳性,则要注意转移性病变的可能。此外还要注意加做提示相关部位的免疫组化指标,如GATA3、TTF1、CDX2、Melan A等。

读文献,学病理-乳腺乳头状肿瘤难点总结(一)5.转移性神经内分泌肿瘤可出现类似非浸润性实性乳头状癌的形态学特征,本例为胰腺来源的肿瘤,免疫组化CgA弥漫阳性,但不表达ERGATA3

读文献,学病理-乳腺乳头状肿瘤难点总结(一)6.转移性恶性黑色素瘤形态学上也可类似实性乳头状癌,但免疫组化SOX10Melan A阳性、且GATA3阴性可以做出鉴别。

读文献,学病理-乳腺乳头状肿瘤难点总结(一)7.转移性甲状腺乳头状癌,形态学可有乳头状结构,但免疫组化TTF1Tg弥漫阳性,且不表达GATA3

 

如果做过粗针穿刺活检,则此时切除标本中鉴别非浸润性与浸润性实性乳头状癌、甚至常见乳头状肿瘤的鉴别都会变得更为困难。如果检查的区域是针道周围,则更要提高警惕,因为此时的结构紊乱、上皮易位可类似浸润表现。活检部位的常见改变有:出血、脂肪坏死、肉芽组织、纤维化,偶见胶样外源性物质。不要因为这些区域查见不规则上皮簇就明确诊断为浸润性癌,尤其这些特征局限于纤维化区域的时候。如非浸润性实性乳头状癌一样,结构破坏或移位的上皮组织周围肌上皮标记物可能缺失,因此不要仅依赖此指标来确诊浸润。

读文献,学病理-乳腺乳头状肿瘤难点总结(一)8.实性乳头状癌粗针穿刺活检后,对浸润性的评估一定要慎重,尤其相关表现仅出现在活检部位周围的杂乱区域且局限于肿瘤的纤维性边界内时

 

未完待续

 

点此下载原文献

参考文献

Hoda RS, Wen HY. Challenges in papillary tumors of breast. Hum Pathol. 2025;162:105759.

doi:10.1016/j.humpath.2025.105759

责任编辑:华夏病理 本站欢迎原创文章投稿,来稿一经采用稿酬从优,投稿邮箱tougao@ipathology.com.cn

相关阅读

  •   数据加载中

我要评论

0条评论