[导读] 作者:尤明月
患者,男,56岁,左眼上睑肿物2年,缓慢增大。患者2年前无明显诱因下发现左眼上睑旁有一肤色丘疹,无痛痒,未予处理。近半年来,自觉皮损缓慢增大,触诊质地硬韧,活动度差。
01 大体检查
送检皮肤梭形切除标本一块,大小2.5cm×1.5cm×0.8cm。皮肤中央见一隆起区。切面观:真皮内可见一灰白、灰黄色实性结节,边界尚清,直径约1.5cm,质硬。
02 组织学检查
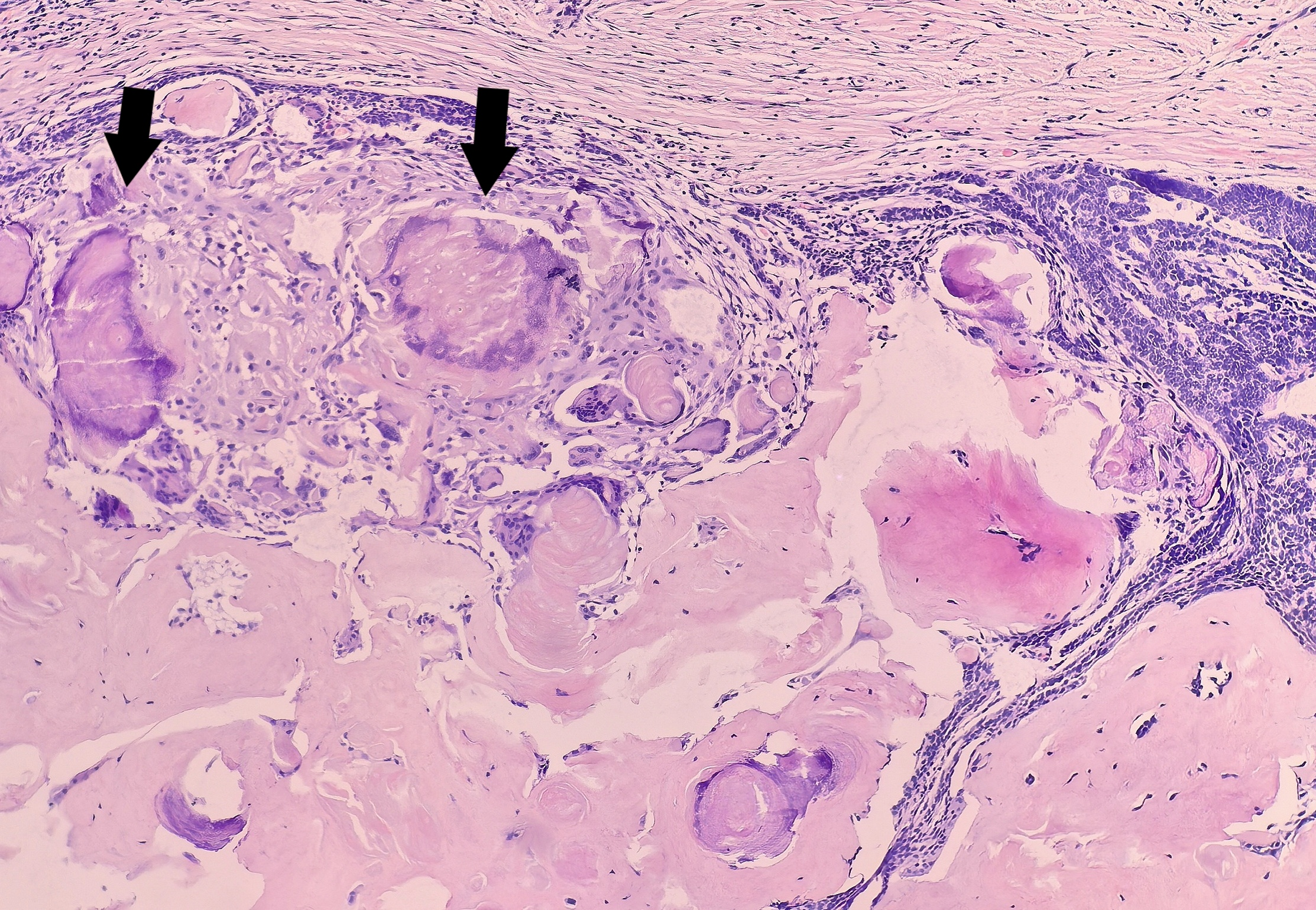
低倍镜下,可见一境界清楚的结节,主要位于真皮内,表面与表皮相连,部分表皮缺失,结节外周部分为蓝染的上皮,中央为粉染的间质,占病变的相当大比例(图1)。

肿瘤对应上方表皮萎缩,真皮内肿瘤细胞呈巢团状,条索状,靠近结节外围分布(图2)。

高倍镜下,肿瘤细胞呈基底样,形态较一致。肿瘤细胞团周边细胞呈特征性栅栏状排列(图3、4)


胞核卵圆形、深染,染色质细腻,核仁不明显,胞浆稀少。核分裂象罕见。巢团与周围间质间可见收缩裂隙(图5)。

部分基底细胞样巢团可见鳞状分化(图6、7)


本病例最显著的特征是间质可见广泛的骨样基质,呈均质,粉染的不规则编织状存在,可见骨陷窝样结构(图8、9),与肿瘤上皮穿插交错存在。


部分区域可见钙化(图10)。

03 最终诊断
(左眼上睑)基底细胞癌伴骨样基质形成(骨化生),侧切缘及基底切缘均未见肿瘤累及。
04 随访
患者行病灶扩大切除术后愈合良好。术后半年复查,术区无复发迹象。
讨论
基底细胞癌(Basal Cell Carcinoma,BCC)是来源于表皮基底层或毛囊干细胞的最常见的皮肤恶性肿瘤,其发病率在我国约占皮肤恶性肿瘤的1/3。长期紫外线暴露是其最主要的危险因素。典型的BCC生长缓慢,转移率极低(约0.0028%-0.5%),但具有局部侵袭破坏性。其组织病理学诊断依赖于识别基底样细胞团、周边栅栏状排列及瘤巢周收缩裂隙。
典型的皮损好发于长期日光暴露部位,约80%发生于头面部,尤其是鼻、眶周、颊部及耳前。皮损初期常表现为单发、无症状的珍珠样或蜡样光泽的小丘疹或结节,表面可见纤细的毛细血管扩张。随着病程进展,皮损中心可出现溃疡、结痂,并缓慢向周围呈侵袭性扩张,形成所谓的“侵蚀性溃疡”,边缘隆起呈卷曲状,宛如珍珠串。
患者多为中老年人,肤色较浅者风险显著增高,其发病与长期累积性紫外线暴露密切相关,也与免疫抑制、某些遗传综合征(如基底细胞痣综合征)有关。
根据临床形态,基底细胞癌可分为多种亚型:结节型最为常见,即上述典型表现;浅表型则多见于躯干,表现为红色、轻度脱屑的斑片,边缘呈细线状隆起,类似湿疹但难以治愈;色素型内含黑色素,易误诊为黑素细胞痣或黑素瘤;硬化型(或称浸润型、硬斑病样型) 则最为隐匿,表现为淡黄色或象牙白色的硬化性斑块,边界不清,触诊质地坚硬,其实际浸润范围常远超临床所见,易被低估,复发率高。
本例的特殊性在于肿瘤间质发生了广泛的骨样基质化生,这是一种非常罕见的病理现象。其发生机制主流观点认为是“上皮-间质相互作用”的结果:BCC肿瘤细胞分泌的转化生长因子-β(TGF-β)、骨形态发生蛋白(BMPs)等信号分子,诱导间质中的肌纤维母细胞向成骨细胞分化,从而产生骨基质。这种化生本身并不改变BCC来源于上皮的本质,也不直接提示更高的转移风险,肿瘤的生物学行为主要取决于其本身的组织学亚型(如结节型、浸润型、硬斑病样型等)。
鉴别诊断是此类病例的核心与难点,主要需与以下含骨/软骨成分的皮肤肿瘤相鉴别:
· 皮肤混合瘤(软骨样汗管瘤):其特点是上皮成分(导管和细胞巢)嵌于大量蓝染的黏液软骨样基质中,无BCC的栅栏状排列和收缩裂隙。免疫组化上皮成分常表达S-100、GFAP,而Ber-EP4通常阴性。
· 骨化性纤维黏液样肿瘤(OFMT):为界限清楚的软组织肿瘤,瘤细胞圆形或梭形,呈索梁状排列,背景为纤维黏液样。特征性表现为肿瘤外周有不完整的板层骨“骨壳”形成。肿瘤细胞常表达S-100、Desmin,不表达上皮性标志物。
· 鳞状细胞癌伴骨化生:必须首先找到明确的鳞状分化证据(如角化珠、细胞间桥)。骨化通常位于癌巢周围的反应性间质中。肿瘤细胞表达P40,但Ber-EP4阴性。
· 皮肤原发性骨肉瘤:为高度恶性的间叶源性肿瘤,由异型明显的肿瘤性成骨细胞直接产生花边状骨基质,完全缺乏上皮性肿瘤结构。免疫组化表达SATB2、Vimentin,而上皮标志物阴性。
另外因本例患者提前出院,未行免疫组化,基底细胞癌的形态最需与毛母细胞瘤相鉴别,HE不确定时可做免疫组化与之相鉴别。
治疗方面,手术完整切除是治愈的基石。根据最新NCCN指南,对于本例位于面部(高风险部位)的结节型BCC,标准治疗是手术切除,并建议通过术中冰冻或术后石蜡切片确保切缘阴性。
总之,基底细胞癌伴骨样基质形成是一种诊断陷阱非常少见,病理医生在真皮肿瘤中见到显著的骨化成分时,应仔细寻找可能被掩盖的经典上皮性肿瘤结构,并合理运用免疫组化(尤其是Ber-EP4)来明确诊断,避免误诊为其他间叶源性或具有双向分化的肿瘤。本文在加深对这一罕见病理现象的认识,提升诊断的精准性。
共0条评论