资讯

鼻腔鼻窦高级别神经内分泌与神经外胚层肿瘤新进展解读(一)

强子 华夏病理 7720 评论
[导读] 编译整理:魏建国,王强

简介

第五版世界卫生组织头颈部肿瘤分类方案中,正式确认了过去十年中鼻腔鼻窦肿瘤分类所经历的若干重大变化,其组织学分类日益精确和细化,并且在肿瘤诊断中高度重视分子检测结果。不过,相关更新仍未涉及鼻腔鼻窦神经内分泌及神经外胚层肿瘤的分类,具体如:嗅神经母细胞瘤的定义未有实质性改变;虽然鼻腔鼻窦小细胞癌和大细胞神经内分泌癌放在独立的神经内分泌肿瘤章节,但诊断标准仍维持不变,只是为了不同器官系统神经内分泌肿瘤术语统一而已;分子相关数据在鼻腔鼻窦神经内分泌与神经外胚层肿瘤的诊断和分类中也未能体现重要作用。

 

不过,鼻腔鼻窦神经内分泌与神经外胚层肿瘤的诊断仍是头颈病理学中最具挑战性的领域之一。比如高级别肿瘤谱系中病种区分困难,有些看似不同的病种其实存在生物学特征的重叠,还有些肿瘤则存在形态学特征的混杂。此外,第五版世界卫生组织分类方案发布后不久,学界又提出了两种新的肿瘤类型-嗅癌与IDH2突变型鼻腔鼻窦癌。

 

2023年3月12日,在美国的新奥尔良举行了2023年北美头颈病理学会联合会议。约翰霍普金斯大学医学院病理专家Rooper等人在《Head Neck Pathol》病理杂志以会议纪要的方式介绍了高级别鼻腔鼻窦神经内分泌与神经外胚层肿瘤的新进展解读。为帮助大家更好的了解相关知识点并应用于临床实践,我们将该文要点编译介绍如下。

 

命名

文献中广泛存在的术语使用混乱现象,是导致鼻腔鼻窦神经内分泌与神经外胚层肿瘤鉴别诊断困惑的因素之一。因此,有必要首先确定本文所涉及肿瘤的相关概念。神经内分泌肿瘤是最广泛的一组,包括了形态学、免疫组化或超微结构层面与人体正常神经内分泌细胞相似的任何肿瘤。神经外胚层肿瘤则属于更广义的神经内分泌谱系,因为它们表达Syn、CgA、INSM1等神经内分泌标记。不过,“神经外胚层”特指那些重现原始或发育中神经组织特征的肿瘤,常伴有神经纤维基质产生及菊形团结构形成。最后还要说明的是,"神经上皮"常与“神经外胚层”作为同义词使用;从胚胎发育角度来说,这可能是准确的,但为了阐述清楚这一复杂肿瘤分类体系,本文将严格限定“神经上皮”仅用于指代同时具备以下特征的肿瘤:既呈现神经外胚层特征、又存在CK阳性或腺体形成等上皮分化证据。

 

鼻腔鼻窦神经内分泌肿瘤的传统分类

要理解鼻腔鼻窦神经内分泌肿瘤及神经外胚层肿瘤的诊断难点与新进展,首先需明确现有分类的定义及病种。本文重点关注鼻腔鼻窦区最常见的三类肿瘤:嗅神经母细胞瘤、小细胞神经内分泌癌和大细胞神经内分泌癌。

 

嗅神经母细胞瘤

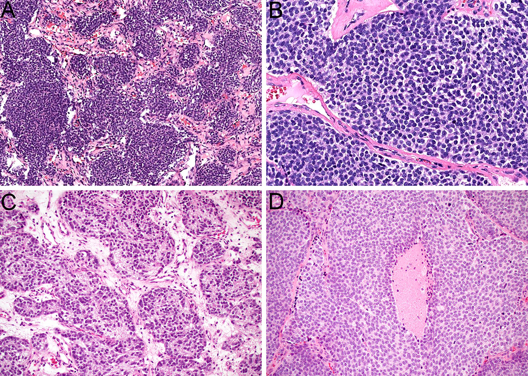
嗅神经母细胞瘤是鼻腔鼻窦特有的神经外胚层肿瘤。现在认为该肿瘤起源于嗅膜的球状基底细胞,因此其位置非常恒定的位于鼻腔顶部筛板周围。组织学上,嗅神经母细胞为神经外胚层细胞构成的相互吻合巢状及小叶状结构,背景间质富于血管。瘤细胞的细胞核圆形至卵圆形,染色质粗颗粒状,细胞呈合体样,且常有显著的神经分化特征,如数量不等的神经纤维基质、菊型团形成。嗅神经母细胞瘤的组织形态学表现宽泛,具体可以参照Hyams方案进行分级,低级别肿瘤者细胞形态温和,有显著神经纤维基质;而高级别肿瘤的细胞核多形性升高、核分裂多见、有坏死。根据Kadish-Morita分期方案评估的肿瘤分期是嗅神经母细胞瘤预后最强有力的预测指标,Hyams分级也有明确预后意义,但影响较小。其5年生存率约为70-75%。

鼻腔鼻窦高级别神经内分泌与神经外胚层肿瘤新进展解读(一)1.嗅神经母细胞瘤。(A)图示神经外胚层细胞呈分叶状及巢状结构,背景为富于血管的间质;(B)图示瘤细胞呈合体样,细胞核形态单一,圆形至卵圆形,染色质粗颗粒状;(C)低级别嗅神经母细胞瘤,有大量神经纤维间质,伴假菊型团形成;(D)高级别嗅神经母细胞瘤,核分裂活性升高,有坏死。

 

免疫组化方面,嗅神经母细胞瘤总是弥漫、强阳性表达所有神经内分泌标记,如Syn、CgA、INSM1。关于该肿瘤中允许存在多大程度的CK表达仍存在争议(详见后述),但绝大部分嗅神经母细胞瘤不表达pan-CK。一般来说,嗅神经母细胞瘤周围有纤细的支持细胞网,该成分阳性表达S100和SOX10。一般嗅神经母细胞瘤总是表达calretinin,这一点有助于小圆形蓝染细胞肿瘤的鉴别。

 

分子特征方面,嗅神经母细胞瘤中尚未发现明确的主导性致癌驱动基因突变,但TP53、PIK3CA、NF1、CDKN1A、CDKN2C、CCND1、FGFR3的改变均见于少许病例。最近有报道称嗅神经母细胞瘤重常见DMD基因的缺失,但其功能意义还不明确。

 

小细胞神经内分泌癌

小细胞神经内分泌癌为高级别神经内分泌癌,罕见于鼻腔鼻窦。如前所述,目前认为鼻腔鼻窦处小细胞癌与其他部位的小细胞癌相同。该肿瘤可发生于各年龄段,最常见于鼻腔上部和筛窦。

 

组织学上,小细胞癌的定义就是片状的高级别上皮细胞,核浆比极高,胞质稀少。该肿瘤的细胞核大、深染,为成角表现,染色质粗糙,相邻细胞核呈显著铸型样。诊断该肿瘤要求核分裂大于10个/2mm2,且常见大量凋亡小体和带状坏死。

鼻腔鼻窦高级别神经内分泌与神经外胚层肿瘤新进展解读(一)图2.小细胞神经内分泌癌,胞质极少的显著非典型细胞,呈片状分布(A);细胞核深染,常见铸型样表现及核分裂、凋亡小体(B)。

 

尽管在其他器官(尤其是肺部)早已明确证实小细胞癌可能仅呈现极轻微的上皮分化免疫组化证据,但由于鼻腔鼻窦小细胞癌与其他小圆蓝细胞肿瘤存在大量形态学重叠,因此在该部位诊断时,一定程度的角蛋白阳性表达实质上已成为必要条件。小细胞癌还阳性表达神经内分泌标记,如Syn、CgA、INSM1,但这些标记的表达均有时候可非常局灶。对于谱系中高级别一端的神经内分泌肿瘤来说,INSM1似乎是敏感性最高的。

 

值得注意的是,最新测序研究发现鼻腔鼻窦小细胞癌具有独特的分子特征:该肿瘤常见ARID1A基因与Wnt通路基因的改变,而非其他部位小细胞癌常见的TP53和RB1基因突变。部分肿瘤也受高危型HPV感染所驱动。该肿瘤为侵袭性,但预后要比其他肺外小细胞癌好一些,5年生存率约40-50%。

 

大细胞神经内分泌癌

鼻腔鼻窦处高级别神经内分泌癌中最为罕见的类型就是大细胞神经内分泌癌。由于其罕见,因此目前对其临床病理特征并不完全明确。其实大细胞神经内分泌癌的定义也会因所在部位的不同而有些差异:部分器官将这一名称用于所有不符合小细胞癌标准的高级别神经内分泌癌,也有的仅将其用于有特征性神经内分泌形态者。如肺部一样,头颈部肿瘤世界卫生组织分类中对于大细胞神经内分泌癌的诊断还是要求有特异性形态学特征。

 

组织学上,鼻腔鼻窦大细胞神经内分泌癌为片状或梁状的大细胞,胞质丰富、嗜酸性至嗜双色性。常见周边栅栏状、菊型团形成、中央粉刺状坏死,细胞核大,染色质空泡状,常见显著核仁。核分裂计数应大于10个/2mm2

鼻腔鼻窦高级别神经内分泌与神经外胚层肿瘤新进展解读(一)3.大细胞神经内分泌癌,一般为巢状结构,周边呈栅栏状;瘤细胞胞质丰富,细胞核大,染色质空泡状,有显著核仁。

 

根据定义,大细胞神经内分泌癌应CK和神经内分泌标记(Syn、CgA、INSM1)均为阳性,但这些标记的表达程度都有相当大的变化。最近发现,大部分鼻腔鼻窦的大细胞神经内分泌癌都有重现性IDH2 R172X突变,详见后述。少数病例中还检测到具有转录活性的高危型HPV。

 

未完待续

 

点此下载原文献

参考文献

Rooper LM. Proceedings of the 2023 North American Society of Head and Neck Pathology Companion Meeting, New Orleans, LA, March 12, 2023: Navigating New Developments in High Grade Sinonasal Neuroendocrine and Neuroectodermal Neoplasms. Head Neck Pathol. 2023;17(2):299-312.

doi:10.1007/s12105-023-01548-8

责任编辑:华夏病理 本站欢迎原创文章投稿,来稿一经采用稿酬从优,投稿邮箱tougao@ipathology.com.cn

相关阅读

  •   数据加载中

我要评论

0条评论