资讯

文献速递-DICER1相关的Wilms样肿瘤

 华夏病理 8118 评论
[导读] 编译整理:张仁亚,王强

简介

Wilms瘤是主要见于儿童患者的肾脏恶性肿瘤,源于胚胎的肾源性胚基,又称为肾母细胞瘤。形态学上,Wilms瘤非常类似发育中的肾脏表现,具体为为胚基、上皮和间质成分以不同比例混合,并可出现异源性横纹肌母细胞分化。Wilms瘤罕见于肾外,文献曾报道于腹膜后、盆腔、下泌尿生殖道、睾丸旁等部位。就女性生殖道来说,则有发生于子宫体、子宫颈、卵巢的报道,少见情况下可发生于阴道。

 

最近一项针对“卵巢原发Wilms瘤”的研究发现,相比伴畸胎瘤者来说,单纯型Wilms瘤的拷贝数改变、全基因组DNA甲基化特征等分子特征有所不同:伴畸胎瘤的Wilms瘤为DICER1野生型,而单纯型Wilms瘤具有致病性DICER1突变。因此该研究的作者提出,只有畸胎瘤相关的Wilms瘤才能诊断为真正的Wilms瘤,而单纯型Wilms瘤应归为DICER1突变的低至中分化Sertoli-Leydig细胞肿瘤。

 

不过,病理的世界总是多姿多彩的:近日,哈佛大学附属麻省总医院病理专家Turashvili等人在《Mod Pathol》杂志发表文章,报道了8例子宫原发的Wilms瘤;不过,鉴于其形态表现与此前报道的DICER1突变肿瘤有重叠,因此作者提出该肿瘤可能也属于DICER1相关肿瘤谱系。为帮助大家更好的认识这类病种,我们将该文要点编译介绍如下。

 

研究内容及结果

纳入研究共计8个病例,来自多个单位的回顾性分析。患者年龄17-69岁不等,年龄中位数36.5岁。临床表现及影像学特征、治疗方案等,请移步原文。患者均无肾脏异常或其他部位DICER1综合征相关肿瘤的病史。6例有随访数据,其中1例在确诊9个月后四位,1例在7.5个月后出现复发,2例在38个月、12个月随访时无病健在,2例在31个月、196个月随访时健在但疾病状态未知。

 

病理特征方面,该组肿瘤中心位于子宫内膜(5例)或子宫下段(1例);病变大小3.5-16cm不等,中位数8.2cm;6例表现为息肉。3例切面描述为异质性:具体为灰褐色至黄白色的囊实性结构,弥漫出血、水肿,伴局灶坏死,并有斑驳的红褐色、出血、质软区。2例大体局限于子宫内膜,2例侵入肌层及宫颈,1例侵入肌层,1例除累及子宫肌层外还累及了附件周围组织

文献速递-DICER1相关的Wilms样肿瘤1.图示一例位于子宫下段的息肉状肿物,切面呈异质性。

 

组织学上,所有肿瘤均为原始间叶成分和上皮样成分的不同比例混合,一般位于细胞稀疏、水肿至局灶黏液样间质内。上皮样成分是最为广泛的,在肿瘤内占比30%(仅1例)至90%不等,呈分叶状排列,可见大小和形状不一的原始小管状,局灶有融合/实性生长、筛状表现、以及肾小球样和菊型团样结构。有3例的原始小管局灶扩张,部分伴腔内凸起,因此呈腺肉瘤样表现。

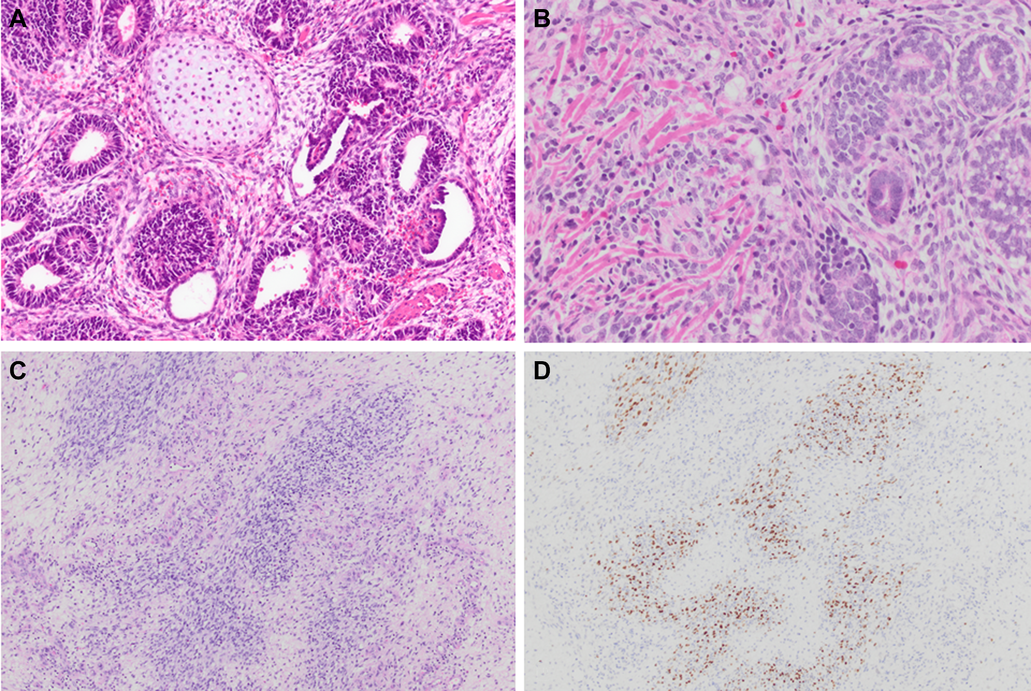
文献速递-DICER1相关的Wilms样肿瘤2.图示原始间叶成分及大小不一的原始小管和菊型团样结构(A),局灶有肾小球样结构(B),排列呈分叶状至实性(C);瘤细胞有高级别非典型(D)。

文献速递-DICER1相关的Wilms样肿瘤3.图示局灶扩张的原始小管,伴腺腔内凸起,形成腺肉瘤样表现。

 

小管和菊型团结构内的细胞表现为细胞核程度不等的假复层,有中至重度细胞学非典型,核分裂多见,且有凋亡小体。肾小球样结构一般较小(1例除外),为立方状至平坦表现的细胞,形态特征相对温和,呈简单至复杂的乳头状结构。

文献速递-DICER1相关的Wilms样肿瘤4.图示显著肾小球样结构,伴简单至复杂的乳头状表现,细胞立方状至平坦,最多为中等程度非典型。

 

上皮样成分周围有数量不等的原始间叶成分围绕,细胞小至中等,胞质稀少,非典型程度不一,可见核分裂及凋亡小体,但无间变性表现。所有肿瘤中,原始间叶成分均围绕扩张的小管(腺周套袖样)、和/或位于表面上皮下(生发层样)。有1例仅在上皮样结构之间见少许原始表现的细胞,间质大部分为轻至中度非典型梭形细胞,背景为纤细胶原。改立有广泛横纹肌肉瘤成分,突破肌层侵及附件周围软组织。

文献速递-DICER1相关的Wilms样肿瘤5.(左)图示表面上皮下的原始间叶细胞,形成生发层样表现;(右)图示围绕扩张腺管周边的原始间叶细胞,形成腺体周围套袖样结构。

 

除了1例之外,其他所有肿瘤的腺体均有核上/核下空泡,符合胎儿型上皮。此外,可见轮廓呈圆形至波浪状的腺体,细胞为柱状,细胞核假复层,有小核仁,轻到中度非典型。有2例肿瘤的腺体可见胞质内黏液、或局灶伴鳞化。

文献速递-DICER1相关的Wilms样肿瘤6.图示胎儿型上皮。

 

水肿的间质背景内,可见胎儿型软骨、横纹肌肉瘤、和/或神经外胚层分化。3例可见散在胎儿型软骨灶。横纹肌肉瘤分化的6例中,为细胞核深染、胞质嗜酸性的小簇状梭形细胞,部分伴横纹。3例有神经外胚层分化的者占比高达30%,具体为小至中等、胞质稀少、嗜酸性或嗜双色性细胞,排列呈片状、梁状、菊型团样,细胞核圆形,染色质粗颗粒状,核分裂多见,有凋亡小体。

文献速递-DICER1相关的Wilms样肿瘤7.图示胎儿型软骨(A)、横纹肌肉瘤分化(右),横纹肌母细胞的胞质内可见横纹;(C)图示簇状梭形细胞,细胞核深染,胞质嗜酸性,免疫组化myogenin阳性(D

文献速递-DICER1相关的Wilms样肿瘤8.图示神经外胚层分化。结构为弥漫片状及假菊型团样,细胞高级别非典型,可见显著核分裂。

 

免疫组化对这组病例的诊断价值不大,但可用于确定或证实具体的成分,尤其横纹肌肉瘤分化。6例肿瘤进行DICER1基因测序中,5例成功获得数据。其中4例检出DICER1突变,包括所有3例具有神经外胚层分化和腺肉瘤样结构的病例。4例DICER1突变肿瘤中,有2例可见胎儿型软骨;另1例DICER1状态未明的肿瘤中也观察到该成分。未检出DICER1突变的1例,肿瘤主体周围伴有低级别子宫内膜样癌,且检出了KRAS突变。不过,该例形态学不同于前述DICER1突变阳性的4例,具体为广泛、明确的肾小球样结构,无腺肉瘤样形态、神经外胚层分化、胎儿型软骨。

 

小结

本研究报道了8例原诊断为子宫原发Wilms瘤的病例,成功完成基因测序的5例肿瘤中有4例检出DICER1突变。形态学与分子生物学研究结果共同表明:大多数具有Wilms瘤样形态的子宫肿瘤实际具有DICER1突变。这些发现不仅拓展了子宫处DICER1相关肿瘤的疾病谱系,更支持将其精准归类为“DICER1相关Wilm样子宫肿瘤”。其中少数未发现DICER1突变的病例可能是KRAS等基因改变驱动的。这类独特肿瘤很可能归属于更广泛的“DICER1相关原始多表型肿瘤”范畴,值得深入研究。

 

全文完

 

点此下载原文献

参考文献

Turashvili G, Croce S, Davidson B, et al. A Distinctive DICER1-Related Wilms-Like Uterine Tumor: A Report of Eight Cases. Mod Pathol. Published online September 23, 2025.

doi:10.1016/j.modpat.2025.100895

责任编辑:华夏病理 本站欢迎原创文章投稿,来稿一经采用稿酬从优,投稿邮箱tougao@ipathology.com.cn

相关阅读

  •   数据加载中

我要评论

0条评论